폐렴 전염 및 증상 그리고 치료 알아보기

폐렴 전염, 증상, 치료에 대해 알기쉽게 정리해드리겠습니다.

1. 전염
폐렴은 감기나 독감보다 전염력이 높습니다. 감기는 주로 약한 바이러스에 의해 발생, 독감은 특정 계절에 유행하지만, 폐렴은 다양한 바이러스, 세균, 곰팡이에 의해 발생해 연중 언제든지 감염될 수 있습니다.
전염기간은 잠복기부터 시작하여 열이 내린 후에도 7~10일 까지도 지속될 수 있습니다.
폐렴 전염은 감염자의 기침, 재채기, 침 등을 통해 이루어집니다. 그리고 노인이나 어린이등 면역력 약한 사람들에게 더 쉽게 확산될 수 있습니다.
폐렴 증상이 나타나는 즉시 병원을 방문해 진단을 받고, 적절한 폐렴 치료를 시작해야 폐렴 전염을 줄일 수 있습니다. 조기 치료가 당사자에게도 빠른 완치를 위해 중요하며 폐렴 확산을 막는 핵심입니다.



2. 폐렴 종류
폐렴은 원인과 발생 환경에 따라 세분화됩니다.
1. 세균성 폐렴: 폐렴구균이 주된 원인입니다. 면역력이 약한 사람에게서 흔히 발생합니다.
2. 바이러스성 폐렴: 독감 바이러스나 코로나19 같은 바이러스에 의해 발생합니다. 전염성이 매우 강합니다.
3. 곰팡이성 폐렴: 곰팡이 포자를 흡입해 감염되며, 면역억제 치료를 받는 환자에게 잘 발생합니다.
4. 흡인성 폐렴: 음식물이나 구토물이 폐로 들어가 염증을 유발합니다.
5. 병원성 폐렴: 병원 환경에서 감염되며, 일반적으로 항생제 내성이 강한 균에 의해 발생합니다.



폐렴 전염 여부는 주로 세균성과 바이러스성 폐렴에서 나타나며, 치료 방식은 폐렴 종류에 따라 다릅니다. 감염 초기에 진단받고 치료를 시작하면 완치 가능성이 높아집니다.
폐렴 예방을 위해 예방주사를 맞는 것도 중요한 방법입니다. 아래에서는 폐렴구균 예방주사에 대한 간단한 설명을 확인하실 수 있습니다.
3. 폐렴 잠복기
폐렴은 잠복기 동안에도 가능할 수 있어 주의해야 합니다. 잠복기는 2~10일로, 원인 병원체에 따라 다릅니다.
잠복기 동안 폐렴 증상이 나타나지 않아도 전염 위험이 있을 수 있습니다.
이 시기에 감염자의 접촉을 최소화하고, 철저한 위생관리가 필요합니다. 전염기간 동안 확산되지 않도록 마스크 착용과 손 씻기 같은 기본 수칙을 지켜야 합니다.



4. 폐렴 초기 증상
평소 없던 기침이 시작되었을 때 거담제나 진해제를 복용해도 2주 이내 호전되지 않으면, 폐렴이나 기관지염을 의심해야 합니다.
폐렴 초기 증상은 감기와 유사해 알아차리기 매우 어려운데요. 발열, 오한, 마른기침, 피로감, 두통, 투명하거나 흰 색의 가래 등이 초기 징후로 나타날 수 있습니다.
바이러스성 폐렴은 세균성 폐렴에 비해 천천히 진행되는 경향이 있으며, 호흡 시 쌕쌕거리는 소리가 나거나 숨을 쉬기 어려운 증상이 나타날 수 있습니다.
피로감은 평소보다 더 두드러지게 느껴지는 정도로 일상에 어느정도의 방해가 되는 수준입니다.



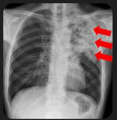
5. 폐렴 증상
폐렴 증상은 질환이 진행되면서 다양하고 심각하게 나타납니다. 주요 증상으로는 고열, 후두통, 가래를 동반한 강한 기침, 흉통, 호흡곤란, 빠른 호흡 등이 있습니다. 가래는 화농성으로 노란색이나 녹색을 띕니다.
sns에 올라온 어떤 60대의 글을 보니 며칠전부터 가래가 끓고 후두통이 있었으며 마른 기침을 계속 했었는데, 감기가 세게 왔구나 생각했다고 합니다. 그러다 갑작스러운 흉통과 호흡곤란으로 응급실을 찾게 되었습니다. 결국 폐렴 진단을 받았는데요. 초기 치료가 지연되면서 증상이 악화되었지만, 집중 치료로 완치할 수 있었습니다.
폐렴 증상이 심각해지면 입원 치료가 필요하며, 면역력이 약한 경우 합병증이 생길 가능성이 큽니다. 폐렴 치료는 증상에 따라 달라지므로 초기에 의료진의 지시를 따라야 합니다.



6. 폐렴 치료
치료는 병원체에 따라 달라집니다. 세균성 폐렴의 경우 항생제를 사용하며, 바이러스성 폐렴은 항바이러스제 또는 증상 완화를 위한 치료가 이루어집니다.
항생제 복용기간은 보통 7일 ~ 10일 정도이나 폐렴 항생제는 더 길게 먹는 사례도 많습니다.
치료 과정에서 충분한 수분 섭취와 휴식이 필요합니다. 폐렴 격리 조치는 전염 기간 동안 필수적이며, 주변 사람들과의 접촉을 최소화해야 합니다.
전염 위험이 있는 경우, 치료와 함께 위생 관리를 철저히 해야 전염을 차단할 수 있습니다.
병원 치료와 함께 폐렴에 좋은 음식을 먹으면 좀 더 빠른 회복에 도움이 됩니다. 고통스러운 증상도 더 줄일 수 있으므로 폐렴에 좋은 음식, 아래에서 확인해보세요.
7. 폐렴 격리
폐렴 격리는 전염을 막기 위한 중요한 단계입니다. 특히 바이러스성 폐렴의 경우 격리를 통해 전염 확산을 방지할 수 있습니다.
격리 기간은 일반적으로 전염기간 동안 유지되며, 최소 일주일 격리가 필요합니다.
폐렴 치료와 병행해 격리를 철저히 지키면 주변 사람들의 안전을 보호할 수 있습니다.


8. 폐렴 완치
폐렴 완치는 조기 치료와 철저한 관리로 가능합니다. 하지만 면역력이 약하거나 기저질환이 있는 경우 완치까지 시간이 더 필요할 수 있습니다.
sns에서 어떤 50대 사례를 보니 폐렴 치료 중 의료진의 지시를 철저히 따르며 약물 복용과 생활 관리에 신경 쓴 덕분에 3주 만에 완치되었다고 하네요.
보통 폐렴 완치라고 할때는, 48~ 72시간동안 열이 없어야하며 기침 가래 흉통 호흡곤란 등의 증상이 1개 이상 남아있지 않는 것을 말합니다.


9. 결론
폐렴 전염, 폐렴 증상, 폐렴 치료에 대해 간략히 정리해보았습니다. 조기 진단과 치료는 전염을 차단하고 증상을 완화하는 핵심입니다. 치료를 통해 건강을 회복하고, 전염 예방을 위해 개인 위생을 철저히 하시면 좋을 듯 합니다.


